Native
- Home
- Product
Native® is a cell-free, non-pyrogenic 0.6mm thick collagen matrix derived from porcine dermis (acellular dermal matrix ADM). The proprietary production process for Native® was developed to guarantee a completely natural, non cross linked product containing no chemical residue or preservatives which can amplify the inflammatory phenomenon and slow down tissue regeneration.
Product Details
This surgical membrane is a resilient, bio compatible implant, which is incorporated into the host tissue through cellular and micro vascular infiltration.
Recent studies have demonstrated that early complications with one-stage breast reconstruction depend on the extent and duration of the inflammatory response and that such a response is affected by the foreign body effect resulting from the implanted bio material.
A material like Native®which incorporates in the shortest time possible minimizes the risks of early complications.
One-stage breast reconstruction, when indicated, provides benefits both for the patient who only has to undergo single procedure, and for its significant cost savings. The advent of bio materials has greatly contributed to this procedure by substantially improving aesthetic results.
The extracellular matrix structure is essential for the regenerative process since it acts as a target site for the transmembrane receptors that facilitate cell to extracellular matrix adhesion. These glycoproteins are present on the cell membrane. One of their most important functions is the role they play in cell migration. They determine the cell decision on which biological function it will perform and mediates the relationships between the extracellular matrix and the cell itself.

Facilitates cell migration

Production of differentiated phenotype

Accumulation and presentation of growth factors to target cells

Scaffold for regeneration
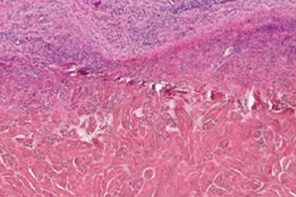
HISTOLOGY
5 x magnification, highlighting the Collagen fibres of the matrix. Note Absence of cellular material
Histology demonstrating the remodeling process of Native® porcine matrix. In the upper part infiltration of fibroblasts and rich neovascularization can be seen